Dra. Sílvia Dionísio

Expansão Maxilar

Palato Estreito

O que é?

A expansão maxilar é um procedimento cirúrgico utilizado para alargar transversalmente o maxilar. Este procedimento é recomendado para pacientes com um maxilar estreito, o que pode causar dificuldades na mordida (mordida cruzada), apinhamento dentário por falta de espaço na arcada, problemas estéticos ou dificuldades respiratórias.

Como é a Cirurgia?

A cirurgia de expansão maxilar, após a adolescência, é realizada sob anestesia geral. O procedimento envolve a aplicação de um dispositivo chamado expansor palatino, que é colocado no céu da boca do paciente, dias antes da cirurgia, pelo seu Médico Dentista. Durante a cirurgia é feita uma osteotomia (corte) da sutura palatina que irá permitir a expansão do maxilar. Este expansor é ajustado gradualmente ao longo de alguns dias para separar as duas metades do maxilar, promovendo o alargamento ósseo.

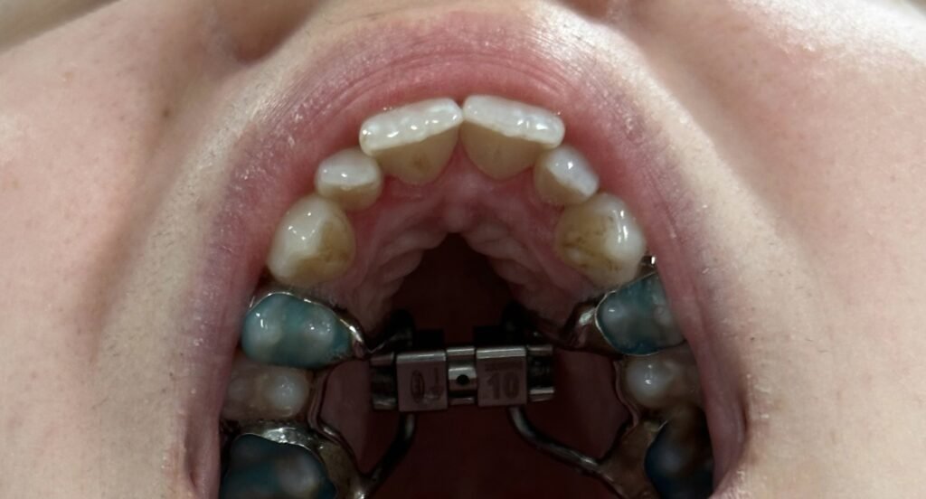
Casos

Antes, durante e depois da expansão maxilar cirurgicamente assistida

Vou ficar com cicatrizes?

Não. A cirurgia é realizada por via intraoral, o que significa que não ficam cicatrizes visíveis no exterior da face.

Perguntas Frequentes​

Quem faz parte da equipa cirúrgica?
Além da Cirurgiã estará presente na sua cirurgia um anestesista, um Cirurgião ajudante, um Cirurgião ajudante, um Enfermeiro instrumentista, um Enfermeiro circulante e um Enfermeiro anestesista.
Quando tenho alta?
A alta costuma ser dada no mesmo dia da cirurgia ou em casos selecionados no dia seguinte à cirurgia.
Quais os cuidados a ter no pós-operatório?
Após a cirurgia, os cuidados incluem alimentação líquida ou pastosa durante algumas semanas e evitar atividades físicas intensas. Deve manter uma boa higiene oral para prevenir infeções e fazer a medicação prescrita. É recomendado colocar gelo nos primeiros 3 dias para ajudar a diminuir o edema/inchaço. O paciente será instruído a alargar o expansor nos dias seguintes à cirurgia, devendo na primeira consulta pós-operatória, vir acompanhado. Os pontos são absorvíveis, não sendo necessário retirá-los.

O acompanhamento pós-operatório com o ortodontista e a cirurgiã é fundamental para monitorizar a recuperação e garantir a expansão necessária.
Depois da cirurgia vou ter dor?
Durante o processo de expansão, à medida que o expansor é ajustado, o paciente pode sentir uma sensação de pressão no maxilar. Essa sensação de pressão pode ser desconfortável, mas não costuma ser dolorosa. No entanto, analgésicos serão prescritos para estar o mais confortável possível.
Quando posso voltar a fazer exercício físico?
Habitualmente é recomendado uma pausa de exercício durante 2-4 semanas, dependendo da sua recuperação. Após a segunda semana, se a recuperação estiver a correr bem, pode começar a retomar exercícios mais leves, como caminhadas.